실활치미백(부분미백)+전체미백 > 치료 전/후증례

본문 바로가기

실활치미백(부분미백)+전체미백 > 치료 전/후증례

치료 전/후증례

치아미백 실활치미백(부분미백)+전체미백

본문

 
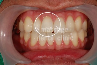
BEFORE
 
AFTER
실활치미백(부분미백)+전체미백
앞니 하나가 신경치료 후 변색되어 전체 미백 진행 후 실활치 미백 진행
서울매스티지치과의원 | 서울시 강남구 봉은사로 105, 1층, 6층 (논현동 동양빌딩, 신논현역 3번출구)
대표자 : 안교희 | 사업자등록번호 : 211-10-44913 | TEL : (02)3446-8275 | FAX : (02)3446-8276
Copyright © 2026 SEOUL MASSTIGE DENTAL CLINIC. ALL RIGHTS RESERVED. DESIGNED BY WHITEORANGE
상담·예약안내02.3446.8275
X 창 닫기
X 창 닫기
X 창 닫기
개인정보 수집 및 이용에 대한 안내

카카오톡 상담

원하시는 상담분야를 선택하신 후 아래 사항을 입력해주시면
카카오톡 상담을 도와드립니다.
자세히 보기

온라인 상담

궁금하신 사항을 질문으로 남겨주시면 성심성의껏
자세히 답변해 드리겠습니다.
제목 답변

작성자

빠른상담신청

아래 사항을 입력하시면 빠른상담을 도와드립니다.
자세히 보기

프로모션

원하시는 항목을 선택하시면 해당하는 프로모션으로 이동합니다.
제목 글쓴이

날짜

오시는길

서울매스티지치과로 오시는 길을 안내드립니다.
오시는길

9호선 신논현역3번출구, 교보타워 사거리로 오시면
그 곳에 바로 저희 서울매스티지치과를 보실 수 있습니다.

진료시간

서울매스티지치과의 진료시간을 안내드립니다.
  • 수,목

    AM 10:00 ~ PM 07:00
  • 월,화,금(야간)

    AM 10:00 ~ PM 09:00
  • 토요일

    AM 10:00 ~ PM 02:00
  • 일요일 및 공휴일

    휴진
토요일은 점심시간 없이 진료합니다.

휴대폰 전송

연락처를 입력하시면 휴대폰으로 약도를 전송해 드립니다.