치료 전/후증례 3 페이지

본문 바로가기

치료 전/후증례 3 페이지

치료 전/후증례
Total 174건, 3 페이지
치료 전/후증례 목록
•내용
틀어진 치아, 돌출입 교정
치료 전 치아상태 : 틀어진 치아, 돌출입, 앞니 토끼이빨
치료 진행 : 치아교정 진행
•진료과목
•내용
올세라믹 전후 증례
치료 전 치아상태 : 앞니 4개가 심한 변색 및 앞니 돌출
치료 진행 : 앞니 4개 올세라믹 치료 진행
•진료과목
•내용
잇몸미백 전후 증례
치료 전 치아상태 : 잇몸이 전체적으로 검은 색을 띄고 있음
치료 진행 : 잇몸미백 진행 후 건강한 잇몸 색상으로 회복
•진료과목
•내용
치아미백 전후 증례
치료 전 치아상태 : 치아가 전체적으로 어두운 노란색
치료 진행 : zoom2 전문가 치아미백 진행
•내용
라미네이트+잇몸성형 전후 증례
치료 전 치아상태 : 못생긴 잇몸 + 치아사이 공간
치료 진행 : 잇몸성형 후 라미네이트 치료 진행
•내용
재교정 > 오래전에 교정 이후 다시 치아가 틀어짐
치료 전 치아상태 : 오래전에 교정 이후 다시 치아가 틀어짐
치료 진행 : 재교정, 치아교정 진행
•내용
재교정 > 오래전에 교정 이후 다시 치아가 틀어짐
치료 전 치아상태 : 오래전에 교정 이후 다시 치아가 틀어짐
치료 진행 : 재교정, 치아교정 진행
•내용
주걱턱교정 반대교합(주걱턱)
치료 전 치아상태 : 반대교합(주걱턱)
치료 진행 : 주걱턱 교정 진행
•내용
주걱턱교정 반대교합(주걱턱) + 벌어진앞니
치료 전 치아상태 : 반대교합(주걱턱) + 벌어진앞니
치료 진행 : 주걱턱 교정 진행
•진료과목
•내용
돌출입 + 부정교합
치료 전 치아상태 : 돌출입 + 부정교합
치료 진행 : 돌출입 교정 진행
•내용
올세라믹 + 앞니 레진 전후 증례
치료 전 치아상태 : 돌출된 앞니와 외소치
치료 진행 : 올세라믹 치료 및 외소치는 레진치료 진행
•내용
오래된 앞니보철물 지르코니아 전후 증례
치료 전 치아상태 : 오래된 보철물로 인해 잇몸이 어두워보이고, 오래된 보철물 심미성이 떨어짐
치료 진행 : 오래된 보철물을 제거하고 지르코니아로 치료 함
•내용
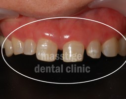
앞니 변색 올세라믹 전후 증례
치료 전 치아상태 : 앞니 하나가 변색되었음
치료 진행 : 변색된 앞니를 올세라믹으로 치료 진행
•내용
깨진 어금니 크라운(PFM) 전후 증례
치료 전 치아상태 : 어금니가 충치로 깨진 상태
치료 진행 : 어금니 신경치료 후 크라운(PFM)치료 진행
•내용
어금니 임플란트 전후 증례
치료 전 치아상태 : 어금니 1개를 상실한 상태
치료 진행 : 임플란트 1개 수술 진행
게시물 검색
서울매스티지치과의원 | 서울시 강남구 봉은사로 105, 1층, 6층 (논현동 동양빌딩, 신논현역 3번출구)
대표자 : 안교희 | 사업자등록번호 : 211-10-44913 | TEL : (02)3446-8275 | FAX : (02)3446-8276
Copyright © 2026 SEOUL MASSTIGE DENTAL CLINIC. ALL RIGHTS RESERVED. DESIGNED BY WHITEORANGE
상담·예약안내02.3446.8275
X 창 닫기
X 창 닫기
X 창 닫기
개인정보 수집 및 이용에 대한 안내

카카오톡 상담

원하시는 상담분야를 선택하신 후 아래 사항을 입력해주시면
카카오톡 상담을 도와드립니다.
자세히 보기

온라인 상담

궁금하신 사항을 질문으로 남겨주시면 성심성의껏
자세히 답변해 드리겠습니다.
제목 답변

작성자

빠른상담신청

아래 사항을 입력하시면 빠른상담을 도와드립니다.
자세히 보기

프로모션

원하시는 항목을 선택하시면 해당하는 프로모션으로 이동합니다.
제목 글쓴이

날짜

오시는길

서울매스티지치과로 오시는 길을 안내드립니다.
오시는길

9호선 신논현역3번출구, 교보타워 사거리로 오시면
그 곳에 바로 저희 서울매스티지치과를 보실 수 있습니다.

진료시간

서울매스티지치과의 진료시간을 안내드립니다.
  • 수,목

    AM 10:00 ~ PM 07:00
  • 월,화,금(야간)

    AM 10:00 ~ PM 09:00
  • 토요일

    AM 10:00 ~ PM 02:00
  • 일요일 및 공휴일

    휴진
토요일은 점심시간 없이 진료합니다.

휴대폰 전송

연락처를 입력하시면 휴대폰으로 약도를 전송해 드립니다.