치료 전/후증례 12 페이지

본문 바로가기

치료 전/후증례 12 페이지

치료 전/후증례
Total 174건, 12 페이지
치료 전/후증례 목록
•진료과목
•내용
이현o님 임플란트 수술을 받기 위해 내원해주셨습니다.
수술이라는 두려움 앞에서 많이 망설이셨는데
현재 매우 큰 만족하고 계십니다.
•진료과목
•내용
총 9번의 전문가 치아미백을 받으셨습니다.
처음내원하셨을때보다 훨씬 밝은 치아를 확인할 수 있었습니다.
•내용
사랑니 발치하기위해 내원해주셨습니다.
•진료과목
•내용
김영ㅇ님
이가 빠진 상태에서 내원해 주셨고
따라서 임플란트 수술을 받으셨습니다.
지금은 치아미백 진행중십니다.^^
•내용
지석ㅇ님은
상악파절로 인해 내원해주셨습니다.
따라서 심미보철치료를 받으셨습니다.
•내용
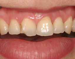
소저ㅇ님
치아의 단단한 조직인 법랑질과 상아질에 충치가 발병하여 이를 치료한 후
깨지거나 빠져서 손실된 치아공간을 금을 치료를 통해 남은 치아를 보호하는 치료를 하였습니다.
•내용
정지ㅇ님께서는 앞니 끝에 조금 깨진 상태로 내원해주셨습니다.
변색이 잘 되지 않는 레진을 이용하여 보다 아름다운 치아를 만드셨습니다.
•진료과목
•내용
이수ㅇ님
보다 환한 치아를 위해 치아 미백을 하러 내원해주셨습니다.^^
치아미백 이후 치아 교정 진행중이십니다.
•내용
김성ㅇ님은 잇몸에 멜라닌세포가 많고 그 세포들에서 멜라닌색소를 다량 분비함으로써 잇몸이 검어 보여서 내원하셨습니다. 잇몸미백으로 이렇게 건강한 연한분홍색이 되었습니다.^^
게시물 검색
서울매스티지치과의원 | 서울시 강남구 봉은사로 105, 1층, 6층 (논현동 동양빌딩, 신논현역 3번출구)
대표자 : 안교희 | 사업자등록번호 : 211-10-44913 | TEL : (02)3446-8275 | FAX : (02)3446-8276
Copyright © 2026 SEOUL MASSTIGE DENTAL CLINIC. ALL RIGHTS RESERVED. DESIGNED BY WHITEORANGE
상담·예약안내02.3446.8275
X 창 닫기
X 창 닫기
X 창 닫기
개인정보 수집 및 이용에 대한 안내

카카오톡 상담

원하시는 상담분야를 선택하신 후 아래 사항을 입력해주시면
카카오톡 상담을 도와드립니다.
자세히 보기

온라인 상담

궁금하신 사항을 질문으로 남겨주시면 성심성의껏
자세히 답변해 드리겠습니다.
제목 답변

작성자

빠른상담신청

아래 사항을 입력하시면 빠른상담을 도와드립니다.
자세히 보기

프로모션

원하시는 항목을 선택하시면 해당하는 프로모션으로 이동합니다.
제목 글쓴이

날짜

오시는길

서울매스티지치과로 오시는 길을 안내드립니다.
오시는길

9호선 신논현역3번출구, 교보타워 사거리로 오시면
그 곳에 바로 저희 서울매스티지치과를 보실 수 있습니다.

진료시간

서울매스티지치과의 진료시간을 안내드립니다.
  • 수,목

    AM 10:00 ~ PM 07:00
  • 월,화,금(야간)

    AM 10:00 ~ PM 09:00
  • 토요일

    AM 10:00 ~ PM 02:00
  • 일요일 및 공휴일

    휴진
토요일은 점심시간 없이 진료합니다.

휴대폰 전송

연락처를 입력하시면 휴대폰으로 약도를 전송해 드립니다.