치료 전/후증례 11 페이지

본문 바로가기

치료 전/후증례 11 페이지

치료 전/후증례
Total 174건, 11 페이지
치료 전/후증례 목록
•내용
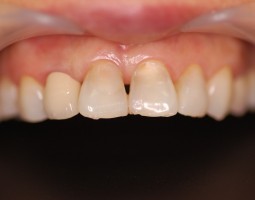
충치치료/골드인레이 치료 전/후
•내용
치아미백 전/후 [권ㅇㅇ님]
•진료과목
•내용
앞니 레진치료로 아름다운 치아를 만드셨습니다.^^
•진료과목
•내용
[임플란트]송지ㅇ님
#44.45.46 +#35 임플란트 수술받으셨습니다.^^
•진료과목
•내용
[임플란트]김지ㅇ님
#46 임플란트 시술 받으셨습니다.
•진료과목
•내용
[임플란트]조장ㅇ님
#11 임플란트 수술 받으셨습니다.^^
•진료과목
•내용
[임플란트]고아ㅇ님
하악 임플란트 수술 받으셨습니다.^^
•내용
[치아성형/엠프레스]김혁ㅇ님
엠프레스 치료를 통해 아름다운 앞니를 가지게 되었습니다.
•내용
[일반진료/골드인레이]서연ㅇ님
아말감에서 골드인레이로 치료받으셨습니다.
•내용
[일반진료/골드인레이]박하ㅇ님
#.46.47 골드인레이 치료 받으셨습니다.^^
•진료과목
•내용
조갑ㅇ님
무치악 임플란트 수술을 받으셨습니다.
•내용
조경ㅇ님
하악 전치부분에 깨진 치아를 레진치료를 통해
아름다운 치아로 거듭나셨습니다.^^
•내용
성효ㅇ님
상악 전치부에 깨진 치아 레진으로 치아성형받으셨습니다.^^
•진료과목
•내용
김점ㅇ님
라미네이트 치아성형으로 원하시던 아름다운 치아를 만들어드렸습니다.
•진료과목
•내용
서혁o님
#47 임플란트 수술 받으셨습니다.
게시물 검색
서울매스티지치과의원 | 서울시 강남구 봉은사로 105, 1층, 6층 (논현동 동양빌딩, 신논현역 3번출구)
대표자 : 안교희 | 사업자등록번호 : 211-10-44913 | TEL : (02)3446-8275 | FAX : (02)3446-8276
Copyright © 2026 SEOUL MASSTIGE DENTAL CLINIC. ALL RIGHTS RESERVED. DESIGNED BY WHITEORANGE
상담·예약안내02.3446.8275
X 창 닫기
X 창 닫기
X 창 닫기
개인정보 수집 및 이용에 대한 안내

카카오톡 상담

원하시는 상담분야를 선택하신 후 아래 사항을 입력해주시면
카카오톡 상담을 도와드립니다.
자세히 보기

온라인 상담

궁금하신 사항을 질문으로 남겨주시면 성심성의껏
자세히 답변해 드리겠습니다.
제목 답변

작성자

빠른상담신청

아래 사항을 입력하시면 빠른상담을 도와드립니다.
자세히 보기

프로모션

원하시는 항목을 선택하시면 해당하는 프로모션으로 이동합니다.
제목 글쓴이

날짜

오시는길

서울매스티지치과로 오시는 길을 안내드립니다.
오시는길

9호선 신논현역3번출구, 교보타워 사거리로 오시면
그 곳에 바로 저희 서울매스티지치과를 보실 수 있습니다.

진료시간

서울매스티지치과의 진료시간을 안내드립니다.
  • 수,목

    AM 10:00 ~ PM 07:00
  • 월,화,금(야간)

    AM 10:00 ~ PM 09:00
  • 토요일

    AM 10:00 ~ PM 02:00
  • 일요일 및 공휴일

    휴진
토요일은 점심시간 없이 진료합니다.

휴대폰 전송

연락처를 입력하시면 휴대폰으로 약도를 전송해 드립니다.